LIFTING FACIAL
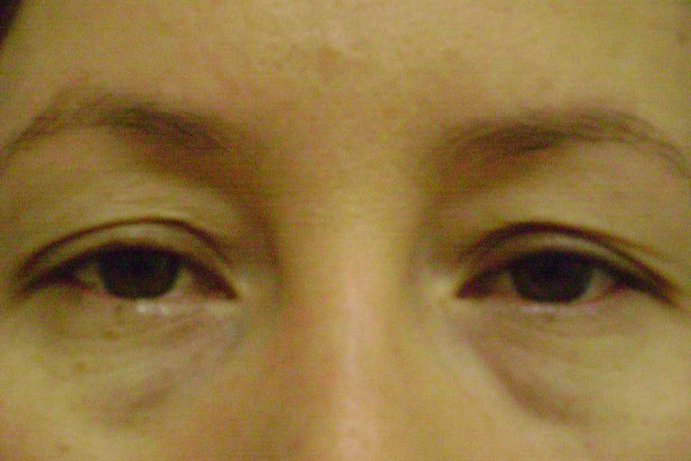
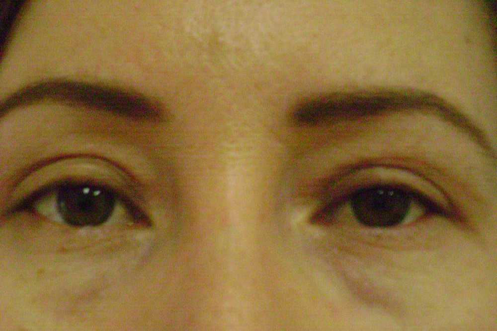
El lifting facial o ritidectomía está indicada cuando existe la presencia de arrugas en la frente, patas de gallo, caída de la cola de las cejas, flacidez de los pómulos, flacidez del surco nasolabial, caída de la comisura de los labios y flacidez o arrugas en el cuello. Con esta cirugía se logra eliminar las arrugas de la frente y los surcos profundos del entrecejo, elevar las cejas caídas, así como la piel flácida y excesiva tanto en las mejillas como en el cuello, obteniendo un contorno facial más joven y eliminando la doble papada. Las patas de gallo se pueden corregir con el estiramiento facial complementándose con aplicación de BOTOX®, la idea de que pueden eliminarse con la cirugía de los párpados es errónea.
Las incisiones quedan escondidas en el pelo cuando la cirugía es para estirar la frente, para el estiramiento de la cara las incisiones se colocan por delante y por detrás de las orejas y para el cuello se coloca en el pliegue de la barbilla. La cirugía es ambulatoria o bien puede permanecer en la clínica 24 horas, se lleva a cabo con anestesia general o con anestesia local y sedación, de acuerdo a cada paciente. Las suturas se retiran a la semana, la desinflamación y los moretones desaparecen en 2 o 3 semanas aproximadamente.
Debe guardar reposo por una semana y puede reincorporarse a sus actividades a los 10 días, de acuerdo al trabajo que desempeñe, siempre evitando hacer esfuerzos.
Es importante que deje de fumar por lo menos dos semanas antes y dos semanas después de la cirugía, así como evitar tomar antiinflamatorios como aspirina, naproxén y diclofenaco, pastillas para bajar de peso y algunas vitaminas.








